【CGF治療】自己血液由来のフィブリンゲルと自家骨による骨再生
採血を行い、血液成分から「フィブリンゲル」と呼ばれるゲル素材を生成します。
これには骨組織や軟組織の形成を促進するはたらきがあります。
また、削り取った患者さまの骨を細かく砕き、フィブリンゲルと混ぜ合わせることで免疫反応や異物反応を起こさず、高い適合性をもってGBRなどの骨再生療法が可能になります。
実際の症例

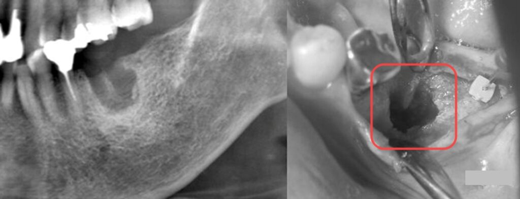
左下の6番(第一大臼歯)を抜歯して3ヶ月が経過した状態です。
抜歯した跡が大きくえぐれたままでインプラントの土台となる骨がありません。
そこでGBR(骨誘導再生法)による欠損部分の再生が必要になります。
一般的には骨補填材料としてハイドロキシアパタイト(HA)やβTCPなどの人工骨、自家骨(下顎の奥などから採取した患者さま自身の骨)、あるいはその両方を使います。

当院ではGBRの際に上記の補填材に加え、患者さまから7cc程度を3本採血して、成分を抽出したものを使用します。
大まかな流れですが血液を遠心分離させてCGFとAFGという、それぞれ成長因子と血漿成分を多量に含んだ完全自己由来の再生材料を取り出します。

CGF(Concentrated Growth Factor)は本来、血小板に含まれている成長因子をさらに濃縮したゲル(ゼリー)状の物質です。
これ自体が骨になるのではありませんが、補填材を入れた上に膜として被せることでバクテリアの侵入を防ぎ、術部の腫れ・出血・痛みを抑え、治癒の促進をはかります。

AFGは血球成分を取り除いた、最も天然に近い液状の血漿です。
補填材と混ぜ合わせて粘土状にすることで、骨欠損部分に充填する際の操作性や、充填後の安定性が大きく向上すると共に、治癒期間中の骨喪失を最小限に抑えられます。

左がCGF併用によるGBRから3ヶ月後のX線写真。
赤で囲った部分がGBRを施した箇所で、少し白っぽく見えています。
右は更に3か月後のX線写真で、GBRから5か月でインプラントBを埋入しました。
右隣の、元々骨のあるところに埋入したインプラントAと比べても骨の状態に殆ど遜色は見られません。
まとめ
GBR施術後は5~6ヶ月間、補填材が骨に置き換わるための成熟期間を経てインプラント埋入を行ないますが、CGF治療を用いることで期間中より安定した治癒が見込めるようになります。
当院はCGF治療を行なう設備・環境を整え、2015年に厚生労働省から再生医療等提供機関として認可を受けました。
また認可後も定期的に報告を行なう事で安全性が担保されています。
ただし、血液疾患がある方や抗凝固薬を服用中の方など、CGF治療が適用できない症例もあるため、事前にしっかりとしたカウンセリングを行う必要があります。